Implantes e instrumental para ortopedia veterinaria
Precisión, tecnología y respaldo en cada procedimiento
En Ostetech Vet ofrecemos soluciones especializadas en implantes e instrumental para ortopedia veterinaria, diseñadas para garantizar precisión, estabilidad y seguridad en cada procedimiento. Nuestro enfoque integra tecnología avanzada y asesoría técnica, permitiendo seleccionar la mejor opción según las necesidades de cada caso clínico.


Implantes para ortopedia veterinaria
Los implantes son fundamentales en la estabilización y reparación de fracturas, permitiendo recuperar la función del miembro afectado y favorecer una adecuada cicatrización ósea.
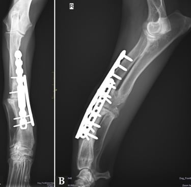
Sistemas de placa bloqueada






Tecnología avanzada que permite una fijación estable sin comprometer la irrigación del hueso, ideal para fracturas complejas y pacientes con hueso comprometido.
Tornillos ortopédicos
Elementos diseñados para asegurar la fijación de implantes, proporcionando estabilidad y resistencia en la reparación ósea.
Sistemas de osteosíntesis
Conjunto de técnicas e implantes que permiten la correcta alineación y estabilización del hueso durante el proceso de recuperación.
Instrumental quirúrgico ortopédico






El uso de instrumental especializado es clave para lograr procedimientos precisos, seguros y eficientes en cirugía ortopédica veterinaria.
Instrumental de fijación
Diseñado para facilitar la colocación de implantes con precisión y control durante el procedimiento.
Instrumental de reducción
Permite manipular, alinear y estabilizar fragmentos óseos de manera controlada.
OsteoTech Vet
Soluciones avanzadas en ortopedia veterinaria
ContactO
¿Necesitas asesoría?
osteotechvet@gmail.com
+57 322 856 58 63
© 2026. All rights reserved.


