Sistemas de Placa Bloqueada
¿Qué es un sistema de placa bloqueada?
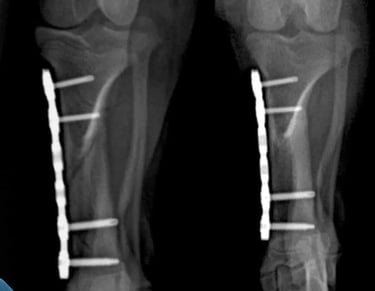
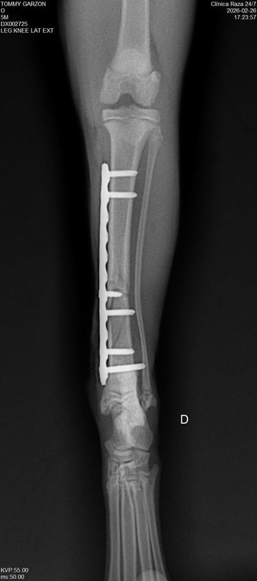
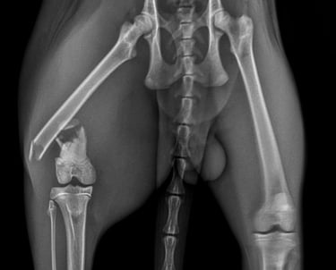
Un sistema de placa bloqueada es una técnica avanzada de fijación interna en la que los tornillos se bloquean directamente a la placa, formando una estructura rígida y estable.
A diferencia de las placas convencionales, este sistema no depende de la compresión contra el hueso, lo que permite:
Mayor estabilidad mecánica
Mejor preservación del riego sanguíneo
Menor riesgo de fallo del implante




¿Cómo funciona?


Fijación de la placa al hueso
La placa se posiciona sobre el hueso afectado, adaptándose a su anatomía sin necesidad de comprimirlo directamente.


Inserción de tornillos bloqueados
Los tornillos se introducen atravesando la placa y se enroscan en ella, quedando firmemente anclados tanto al hueso como a la placa.


Formación de un sistema rígido
Al bloquearse los tornillos con la placa, se crea una estructura estable tipo “armazón” que no depende de la presión sobre el hueso.


Estabilización y cicatrización ósea
El sistema mantiene los fragmentos óseos alineados, permitiendo una adecuada recuperación y favoreciendo la cicatrización.
¿En qué casos se utiliza?
Fracturas complejas


Solución ideal para fracturas con múltiples fragmentos o alta inestabilidad.




Hueso comprometido
Indicado en pacientes con hueso débil, osteoporótico o de baja calidad.
Permite correcciones precisas en deformidades y procedimientos ortopédicos avanzados.
Cirugías reconstructivas
Beneficios del sistema
Los sistemas de placa bloqueada ofrecen ventajas significativas frente a métodos tradicionales, ya que combinan estabilidad mecánica con un enfoque más biológico de la reparación ósea.
Mayor estabilidad
La fijación entre tornillo y placa crea una estructura rígida que mantiene los fragmentos óseos alineados incluso en fracturas complejas.
Al no requerir compresión directa contra el hueso, se reduce el daño a los tejidos blandos y se conserva mejor el riego sanguíneo, clave para la cicatrización.
Menor riesgo de complicaciones
Preservación del tejido y la irrigación
Reduce la probabilidad de infecciones, aflojamiento de tornillos o retrasos en la consolidación ósea.
¿Por qué Ostetech Vet?
En Ostetech Vet combinamos tecnología avanzada en sistemas de placa bloqueada con una planificación quirúrgica precisa, adaptada a cada paciente. Nuestro enfoque especializado en ortopedia veterinaria nos permite ofrecer procedimientos más seguros, estables y con una recuperación más predecible.




OsteoTech Vet
Explore our sleek website template for seamless navigation.
ContactO
Newsletter
osteotechvet@gmail.com
+57 322 856 58 63
© 2024. All rights reserved.
